[ad_1]
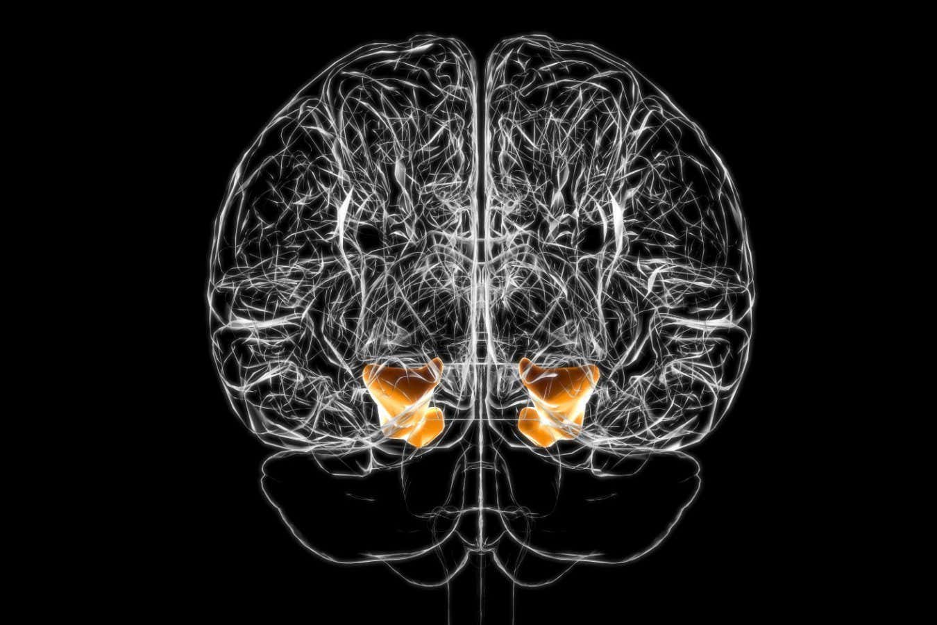
A brain region critical for memory is smaller in older adults with fewer than 10 teeth than in those who have most of their teeth, suggesting that tooth loss may precede the development of dementia
[ad_2]
Source link
Tooth loss linked to early signs of Alzheimer’s disease

Leave a Reply